Who are we?
1. 课题组导师介绍
杨国源教授,医学博士,博士生导师,伟德国际1949始于英国王宽诚讲席教授、康复工程研究所所长、美国医员工物工程院会士,中国卒中学会理事,中国卒中学会脑血管与代谢分会副主任委员,兼任Stroke and Vascular Neurology等多本杂志的副主编。世界首创小鼠大脑中动脉缺血和缺血再灌注损伤模型,发表240余篇科学论文,H-因子80,引用21400余次, 近五年连续获中国医学领域高被引学者前十名。长期从事神经生物学、神经外科学和神经病学,特别是脑血管疾病的转化医学研究。
王永亭
博士生导师,教授,ISCBFM协会常任理事
已完成多项国自然面上和青年项目;作为第二完成人获得教育部自然科学二等奖;已在JACS, Stroke,JCBFM等国际重要期刊上共发表SCI论文100余篇,H-因子39,被引用4700多次。
张志君
硕士生导师、副研究员
先后获得国自然、上海市科委、教育部等多项基金支持;已发表学术论文被引用2000多次。
汤耀辉
博士生导师,助理教授
目前主持国家重点研发计划“干细胞与转化研究”青年项目、国家自然科学基金、伟德国际1949始于英国医工交叉重点基金等,在多本国际重要期刊上共发表SCI论文40余篇,H-因子23,引用2000余次。
What we do?
1. 典型课题概述
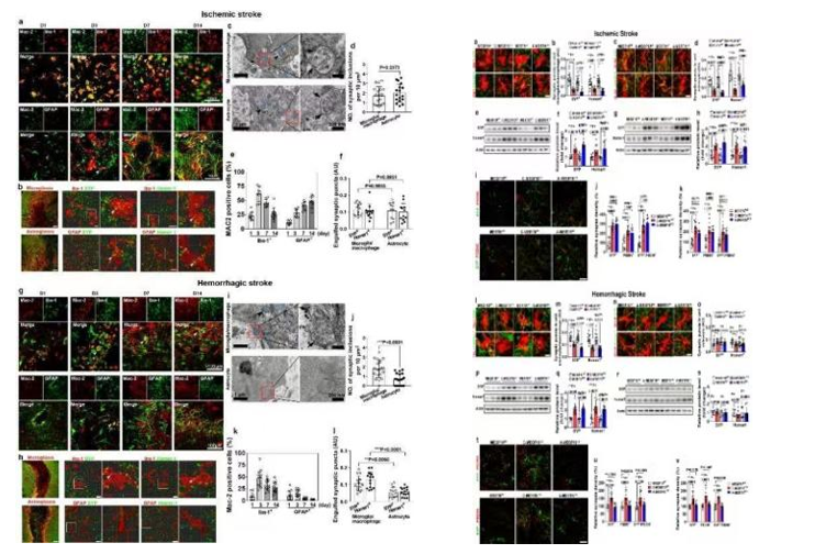
《不同卒中类型的反应性胶质细胞介导的突触吞噬》
该工作利用啮齿类动物脑血管疾病模型,探索小胶质细胞/巨噬细胞(microglia/macrophage)和星形胶质细胞(astrocyte)在缺血性卒中和出血性卒中修复阶段的突触吞噬情况。研究发现两种胶质细胞在脑缺血(ischemic stroke)小鼠中过度激活从而吞噬神经突触,使得突触丢失影响了疾病预后;而在脑出血小鼠中只有小胶质细胞/巨噬细胞过度激活介导突触吞噬,星形胶质细胞无明显作用。采用条件性基因敲除小鼠。通过免疫电镜、高尔基染色等技术证明了反应性胶质细胞是通过MEGF10/MERTK 吞噬通路对胶质增生区域的突触前膜和后膜进行吞噬。单细胞测序分析进一步发现了与缺血性卒中相比,出血性卒中后介导神经突触吞噬的星形胶质细胞亚群数量明显降低。所有这些结果都提示了在卒中修复期,胶质细胞可通过MEGF10 和 MERTK这两个关键分子吞噬神经突触,导致神经突触丢失和神经环路破坏,最终造成神经功能障碍。
详情链接:/Web/Show/2571
2. 现阶段在研及学术成果介绍
Why Join us?
我从远方赶来,恰好你们也在。
1. YANG LAB
在这里你们可以感受到精益求精的学术追求。
同时还有丰富多彩的课题组生活
2 桃李满园
相逢是缘,相识是福,感恩遇见;共同成长,共同经历,并肩前行!
毕业生就业情况
毕业生照片回顾
供稿单位 | 党政综合办
作者 | 陶丽宁,虞汶颖
审核 | 杨国源
